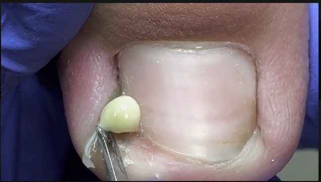
The image above shows a clear case of a nail fold infection, where thick yellow pus has formed along the edge of the nail. This condition, commonly known as paronychia, occurs when bacteria enter the skin around the nail and begin to multiply. Although it may appear small, this type of infection can be surprisingly painful and may worsen quickly if not treated correctly.
How Does a Nail Fold Infection Develop?
Paronychia usually starts with a minor injury. Small cuts, aggressive nail trimming, hangnails, nail biting, or pushing the cuticle back too hard can all damage the protective skin barrier. Once bacteria enter, the body reacts by sending white blood cells to fight the infection, which leads to swelling, redness, and pus formation.
As pressure builds beneath the skin, the area becomes tender and sensitive. Even light contact can cause discomfort, and daily activities involving the fingers may become difficult.
Why Pus Formation Is a Warning Sign
The presence of pus indicates that the infection has reached an advanced stage. At this point, topical treatments alone are often not enough. The trapped fluid creates pressure that can slow healing and increase pain. If left untreated, the infection may spread deeper into the finger or affect the nail matrix, potentially causing nail deformities.
Professional drainage allows the pressure to be released safely, reducing pain and helping the body heal more efficiently.
The Importance of Proper Treatment
Attempting to squeeze or puncture an infected nail area at home can be dangerous. Without sterile tools and proper technique, bacteria can be pushed deeper into the tissue, making the infection worse. Medical professionals use controlled methods to drain the pus, clean the area, and protect the surrounding skin.
In many cases, proper treatment leads to immediate relief and prevents long-term complications.
Preventing Nail Infections
Maintaining good nail hygiene is essential. Avoid biting nails or picking at the skin, trim nails carefully, and keep hands clean and dry. When visiting nail salons, ensure tools are properly sterilized and avoid procedures that damage the cuticle.
Early signs such as redness, swelling, or tenderness should never be ignored. Prompt attention can stop a minor irritation from becoming a serious infection.
Conclusion
A nail fold infection with pus is more than a cosmetic concern—it is a medical issue that requires proper care. The image above highlights how quickly a small injury can turn into a painful condition. With early treatment and good hygiene, nail infections can heal safely, restoring comfort and nail health.

