Skip to content
Top Menu
February 5, 2026
  • Privacy Policy
  • Contact Us
  • Copyright
  • Terms of Service
  • Disclaimer

Rdbeauty

  • Home
  • Beauty
  • Acne
  • Cyst
Main Menu
Toenail

These Deep Plantar Corns Look Small — But the Treatment Video Tells a Different Story

January 22, 2026 - by doungdara088 - Leave a Comment

At first glance, the image above shows two rounded areas of thickened skin on the sole of the foot. They appear smooth, yellowish, and tightly packed, with a visible central …

These Deep Plantar Corns Look Small — But the Treatment Video Tells a Different Story Read More
Toenail

Painful Plantar Corns on the Sole: Causes, Symptoms, and Proper Treatment

January 22, 2026 - by doungdara088 - Leave a Comment

The image above shows two deep plantar corns on the sole of the foot, clearly visible as thick, circular areas of hardened skin with a central core. These lesions are …

Painful Plantar Corns on the Sole: Causes, Symptoms, and Proper Treatment Read More
Toenail

Nail Fold Infection With Pus: What It Means and Why Proper Treatment Matters

January 21, 2026 - by doungdara088 - Leave a Comment

The image above shows a clear case of a nail fold infection, where thick yellow pus has formed along the edge of the nail. This condition, commonly known as paronychia, …

Nail Fold Infection With Pus: What It Means and Why Proper Treatment Matters Read More
Toenail

Severe Finger Infection With Pus: Causes, Risks, and Proper Treatment

January 21, 2026 - by doungdara088 - Leave a Comment

The image above shows a serious finger infection characterized by swelling, redness, and thick yellow pus being carefully drained using a medical instrument. This condition is commonly referred to as …

Severe Finger Infection With Pus: Causes, Risks, and Proper Treatment Read More
Toenail

Hidden Nail Infection Under Artificial Nails: A Serious Problem You Shouldn’t Ignore

January 21, 2026 - by doungdara088 - Leave a Comment

The images above reveal a condition many people don’t expect to see beneath artificial nails. At first glance, the red acrylic nail looks polished and well-shaped. But once the nail …

Hidden Nail Infection Under Artificial Nails: A Serious Problem You Shouldn’t Ignore Read More
Toenail

Extreme Thick Toenail Condition: Causes, Risks, and Proper Foot Care Solutions

January 20, 2026 - by doungdara088 - Leave a Comment

The image above highlights a severe toenail condition where the nail has become extremely thick, hardened, and curved into an abnormal shape. This condition, medically known as onychogryphosis, develops gradually …

Extreme Thick Toenail Condition: Causes, Risks, and Proper Foot Care Solutions Read More
Toenail

Extreme Thick Toenails That Will Shock You – A Powerful Transformation You Have to See

January 20, 2026 - by doungdara088 - Leave a Comment

The image above immediately grabs attention. Thick, yellow, curved toenails have grown far beyond a normal length, twisting into horn-like shapes that look almost unreal. This severe nail condition is …

Extreme Thick Toenails That Will Shock You – A Powerful Transformation You Have to See Read More
Cyst

This Giant Back Mass Left Doctors Stunned – Watch the Full Medical Journey in the Video

January 20, 2026January 23, 2026 - by doungdara088 - Leave a Comment

At first glance, the image above is shocking. A massive, round growth dominates the upper back of a man, stretching the skin to its limits and completely altering his body …

This Giant Back Mass Left Doctors Stunned – Watch the Full Medical Journey in the Video Read More
Cyst

This Massive Back Growth Shocked Everyone – Watch the Video to See the Life-Changing Removal

January 20, 2026January 20, 2026 - by doungdara088 - Leave a Comment

At first glance, the image above is almost unbelievable. A man stands sideways, revealing a huge, protruding mass on his upper back—so large that it completely changes the shape of …

This Massive Back Growth Shocked Everyone – Watch the Video to See the Life-Changing Removal Read More
Cyst / Toenail

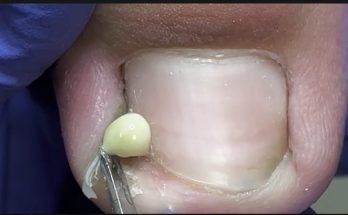
This Painful Finger Lesion Is Surprisingly Hard to Remove – Watch the Video to See Why

January 20, 2026 - by doungdara088 - Leave a Comment

At first glance, the image above may look like a small skin problem, but don’t be fooled by its size. A round, yellowish lesion with a dark center sits on …

This Painful Finger Lesion Is Surprisingly Hard to Remove – Watch the Video to See Why Read More

Posts pagination

Previous 1 2 3 … 16 Next
Copyright © 2026 Rdbeauty .
Powered by WordPress and HitMag.
EnglishEnglish